Главная > Болезни мочеточника > Ретроперитонеальный фиброз

Болезнь Ормонда

болезнь Ормонда - рентгенограммаБыстрый переход:

Ретроперитонеальный фиброз или болезнь Ормонда — хроническое неспецифическое негнойное воспаление фиброзно-жировой ткани забрюшинного пространства неясной этиологии, вызывающее постепенную компрессию и нарушение проходимости тубулярных структур ретроперитонеального пространства (чаще всего мочеточников).

Заболевание представляет собой одно из проявлений широко распространённого понятия, определяемого как «системный идиопатический фиброз». Идиопатический медиастинальный фиброз, струму Риделя (Riedel), склерозирующий холангит, панникулит, болезнь Пейрони (Peyronie) и десмоидную опухоль относят к другим фиброматозам, которые представляют локализованные формы системного идиопатического фиброза.

Эпидемиология

Болезнь Ормонда встречается редко; мужчины болеют в 2 раза чаще, чем женщины. Смертность зависит от активности обструктивного процесса и осложнений, связанных с ним (сдавление мочеточников, ХПН, почечная артериальная гипертензия, сдавление нижней полой вены, аорты и подвздошных артерий).

Классификация

Различают первичный (идиопатический) и вторичный ретроперитонеальный фиброз. В развитии идиопатического РПФ ведущую роль отводят аутоиммунным механизмам. Вторичный РПФ — следствие разнообразных патологических состояний и болезней.

Причины болезни Ормонда

Этиология заболевания не известна. Существует две основные теории его возникновения — воспалительная и иммунная. Некоторые исследователи относят данное заболевание к группе истинных коллагенозов. Выделяют ряд факторов, способствующих возникновению заболевания: злокачественные новообразования, хроническое воспаление в печени, поджелудочной железе, склеротические процессы в забрюшинной клетчатке, возникающие при хронических заболеваниях кишечника, в женских половых органах, туберкулёзное поражение позвоночника и некоторые другие инфекции, облучение, посттравматические забрюшинные гематомы, системное поражение сосудов, токсическое воздействие ряда химиопрепаратов и применение некоторых лекарственных средств, в частности от мигрени. В 2/3 случаев причинный фактор установить не удаётся — заболевание имеет идиопатический характер.

Патогенез

Обычно ретроперитонеальный фиброз начинается в забрюшинной клетчатке, окружающей подвздошные сосуды, у места их перекрёста с мочеточником (уровень L4–L5). Постепенно фиброз распространяется к мысу крестца и области ворот почки. В 30% случаев процесс двусторонний Белая фиброзная ткань, напоминающая бляшку дерева, расположена вдоль периаортальных лимфатических узлов. В 30% случаев РПФ является двусторонним процессом. Окружающие лимфатические узлы ткани вовлечены в процесс и стянуты, но структуры, расположенные в забрюшинном пространстве, не поражены.. Сосуды и мочеточники вовлекаются в процесс настолько интимно, что не удаётся определить грань между адвентицией и фиброзной тканью.

Быстрее всего в ходе заболевания происходит сдавление мочеточников, затем в процесс вовлекаются нижняя полая вена, аорта и её главные артерии. Нарушение пассажа мочи по мочеточникам приводит к развитию гидронефроза, пиелонефрита, а в конечном итоге к ХПН и сморщиванию почки. Редко при ретроперитонеальном фиброзе возникает кишечная непроходимость, обструкция венозных сосудов, ещё реже артериальная и печёночная обструкция.

Симптомы болезни Ормонда

Патогномоничных симптомов для нет. Клиническая картина зависит от стадии, активности и распространённости процесса. Время от начала заболевания до первых проявлений колеблется от 2 мес до 11 лет.

Различают три периода в развитии РПФ:

  • начало и развитие болезни;
  • период активности, при котором целлюлярный и фиброзный процессы охватывают ретроперитонеальные структуры;
  • период сокращения фиброзной массы с компрессией вовлечённых структур.

На стадии прогрессирования фиброза в какой-то момент с очевидностью происходит самоограничение заболевания, фактор особой важности в определении вида лечения. Впервые заболевшие обращаются к врачу с жалобой на постоянную тупую боль, не спастического характера в нижней части спины или боковых отделах туловища. Боль часто иррадиирует в нижнюю половину живота, пах, наружные половые органы или переднемедиальный участок бедра. Сначала боль может быть односторонней, но позднее, при распространении фиброзного процесса, может стать двусторонней. Возможно повышение АД, утомляемость, снижение аппетита. Опухолевидное образование в области живота или таза пальпируют примерно у 30% больных.

Симптомы, обусловленные сдавлением тубулярных ретроперитонеальных структур, могут появиться через различные сроки после исходных жалоб в срок от 1 мес до 2 лет. К основным структурам забрюшинного пространства, вовлечённым в процесс, относят мочеточники, аорту и нижнюю полую вену. Особенность клинического течения заболевания — постепенное прогрессирование. Частичную или полную обструкцию мочеточников выявляют у 75–85% больных. Олигурию или анурию с развитием уремии и лабораторными доказательствами ХПН отмечают у 40% больных. При нарушении уродинамики в верхних отделах мочевыводящих путей развиваются пиелонефрит, мочекаменная болезнь, нефрогенная АГ и ХПН. Характерными особенностями ХПН при ретроперитонеальном фиброзе являются, с одной стороны, постепенное клиническое течение заболевания со скудной симптоматикой, с другой — острое её проявление в виде анурии, вследствие двустороннего сдавления мочеточников фиброзным кольцом с развитием вторичного гидроуретеронефроза, пиелонефрита и ХПН. Симптомы венозной гипертензии в виде отёков нижних конечностей, варикоцеле, портальной гипертензии, тромбоз нижней полой вены встречаются достаточно редко. Артериальная недостаточность, обусловленная фиброзной констрикцией аорты или чревных артерий, — нетипичный признак.

Диагностика

  • Лабораторная диагностика. На ранних стадиях заболевания определяется увеличение СОЭ. В сыворотке крови обнаруживают С-реактивный белок и повышение фракции α2-глобулинов. По мере прогрессирования почечной недостаточности (снижение клиренса креатинина) в крови нарастает содержание мочевины и креатинина.
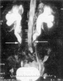
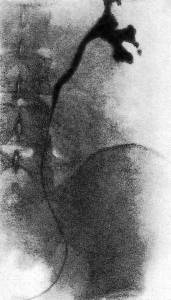
  • болезнь Ормонда - фотоИнструментальные методы. На обзорной рентгенограмме почек и верхних мочевыводящих путей определяют расплывчатость контуров поясничной мышцы и очертаний почек. Экскреторная урография позволяет выявить длинные суженные участки мочеточника и его медиальное отклонение в проекции средней трети, а также гидронефронефротическую трансформацию и характерные изменения мочеточников — расширение до среднего физиологического сужения (обструкция за счёт сдавления извне) со смещением в медиальную сторону. Аналогичную картину выявляет ретроградная пиелоуретерография. Тем не менее, при РПФ медиальное отклонение возникает не всегда, в то время как у 20% людей с нормальными мочевыводящими путями также выявляют данное отклонение мочеточников. Таким образом, по данным уретеропиелограмм, триада, указывающая на наличие болезни Ормонда, включает:
    • гидронефроз с расширенным извилистым верхним сегментом мочеточника;
    • медиальную девиацию мочеточника;
    • наружную компрессию мочеточника.
    При невозможности выполнения ретроградной производят чрезкожную антеградную пиелоуретерографию. С помощью радиоинуклидного исследования оценивают функциональное состояние почек и верхних мочевыводящих путей. Ультразвуковое исследование подвздошных сосудов с цветным допплеровским картированием подтверждает расширение полости почки и мочеточника и выявляет прерывание мочеточника на уровне его перекреста с подвздошными сосудами. Определенное диагностическое значение имеет венокаваграфия. Для заболевания характерны сужение или обструкция нижней полой вены с развитием коллатералей, а также смещение её поясничного отдела кпереди. В последнее время для диагностики РПФ используют КТ и МРТ. Данные виды медицинского обследования позволяют выявить не только расширение верхних мочевыводящих путей, но и однородное объёмное образование, окружающее мочеточник, нижнюю полую вену и аорту. Учитывая, что ретроперитонеальный фиброз может возникнуть вследствие воспалительных заболеваний соседних органов, целесообразно провести обследование органов брюшной полости и малого таза.
    Уточнить диагноз и провести дифференциальную диагностику между злокачественным и доброкачественным РПФ можно с помощью анализа множественных глубоких биопсий этого образования. Несмотря на то, что не существует специфических лабораторных показателей, изменения которых связаны с развитием болезни Ормонда, примерно у 60–90 % пациентов повышается СОЭ, неспецифический индикатор воспаления.
  • Дополнительные методы исследования — УЗИ органов брюшной полости, ирригоскопия, колоноскопия, ректороманоскопия, почечная артериография, провокационная туберкулиновая проба. В некоторых наблюдениях правильный диагноз удаётся установить только после лапаротомии и операционной биопсии.

Дифференциальная диагностика

Дифференциальную диагностику ретроперитонеального фиброза проводят со стриктурой или ахалазией мочеточников, с двусторонним гидронефрозом. В отличие от вышеперечисленных заболеваний для РПФ характерна обструкция мочеточников на уровне перекрёста с подвздошными сосудами, выше которого мочеточник расширен, а ниже — не изменён.

Бывают случаи, когда возникают трудности дифференциальной диагностики болезни Ормонда с атипичной локализацией кист поджелудочной железы, опухолей желудка и кишечника, с опухолями, расположенными ретроперитонеально, с туберкулёзом почек и туберкулезом мочеточников.

Лечение болезни Ормонда

Лечение зависит от причины развития заболевания. Если оно связано с применением лекарственных средств его отмена часто приводит к выздоровлению. Лечение при злокачественных заболеваниях проводят в соответствии с их клеточным типом. Идиопатический ретроперитонеальный фиброз часто поддаётся лечению глюкокортикоидами и (или) дополнительными иммуносупрессорными препаратами. В то же время, пациентам, особенно при распространённом заболевании, часто необходимо оперативное вмешательство для освобождения мочеточников и других структур и уменьшения обструкции.

Лечение болезни Ормонда сводится к восстановлению и/или поддержанию проходимости верхних мочевыводящих путей с целью профилактики возможных осложнений. В зависимости от стадии заболевания и наличия осложнений проводят консервативное и оперативное лечение.

Медикаментозное лечение

Консервативную терапию первичного РПФ как самостоятельный вид лечения применяют лишь при сохранности пассажа мочи и умеренной степени снижения тонуса верхних мочевыводящих путей и нарушения функции почек. Для воздействия на периуретеральный фиброз используют глюкокортикоидные средства (дексаметазон, преднизолон) в сочетании с (неспецифическими противовоспалительными средствами (НПВС) иммунодепрессантами (азатиоприн), препаратами рассасывающего действия (гиалуронидаза, алоэ, стекловидное тело). Наиболее эффективно применение кортикостероидов в начальной стадии заболевания с контролем состояния обструкции мочеточников. Дексаметазон назначают по 3–10 мг/сут в течение 8 нед, затем дозу постепенно уменьшают (каждые 4 дня на 0,5 мг), доводя до поддерживающей (0,5 мг/сут), кортизон по 50 мг в день в течение 3 месяцев.

При необходимости применяют противовоспалительное, антибактериальное, дезинтоксикационное, симптоматическое лечение.

В настоящее время широкое распространение получила следующая схема консервативного лечения ретроперитонеального фиброза:

  • преднизолон по 25 мг внутрь в течение 1 мес с последующим постепенным снижением дозы в течение 2–3 мес;
  • во время приёма преднизолона ежедневно на ночь эзомепразол 20 мг;
  • вобэнзим по 5 драже 3 раза не менее 6 мес;
  • после начала снижения дозы преднизолона (через 1 мес) целекоксиб по 100 мг 2 раза в течение 1 мес.

Применение консервативных методов лечения часто приводит к улучшению состояния пациентов на фоне восстановления проходимости мочеточника, однако нередко возникает рецидив заболевания с еще более выраженными функциональными и анатомическими изменениями. При нарастании ретенционных нарушений верхних мочевыводящих путей или при далеко зашедшей стадии болезни проводят оперативное лечение.

Оперативное лечение

Оперативное лечение показано при осложнениях болезни Ормонда: выраженном одно- или двустороннем расширении мочеточников, особенно если сдавление мочеточника сопровождают его грубая деформация, развитие стриктуры; частых обострениях пиелонефрита; нарастании почечной недостаточности; нефрогенной АГ, так как в этих случаях консервативные методы воздействия не эффективны.

Выбор вида оперативного лечения зависит от локализации, степени распространённости фиброзного процесса, степени вовлечения и распространения поражения мочеточника, функционального состояния почек и верхних мочевыводящих путей.

Прогноз

Прогноз зависит от стадии заболевания т.е. от характера фиброзного процесса, функционального состояния почек и верхних мочевыводящих путей, наличия осложнений. При консервативном лечении возможен временный положительный эффект. Наилучшие результаты получены при своевременном оперативном лечении с использованием одного из методов перемещения мочеточника. Длительный приём глюкокортикоидов после операции улучшает прогноз. Возможны рецидивы заболевания через несколько месяцев или лет.

Основная причина смерти — почечная недостаточность. В целом прогноз при болезни Ормонда неблагоприятный. В инкурабельных случаях летальность составляет до 60%. Прогноз относительно благоприятен, если лечение начинают до появления необратимых изменений в почках и развития почечной недостаточности.

"Урология - национальное руководство"
Поделиться: