Стриктура уретры

стриктура уретры - фотоСтриктура уретры — это стойкое сужение мочеиспускательного канала на каком-либо его отрезке, возникшее в результате рубцового изменения как самой уретры, так и окружающих ее тканей. Заболевание является следствием повреждений и воспалительных процессов уретры. Для хирурга практическое значение имеют в основном травматические сужения мочеиспускательного канала.

Стриктуры, возникающие в результате воспалительных процессов, локализуются главным образом в передней части уретры (висячий и бульбозный отделы); посттравматические — в промежностном отделе губчатой части, перепончатой и предстательной частях ее. Облитерации (заращение), как правило, возникают после повреждений, чаще огнестрельного характера. По протяженности и форме сужение может иметь различный вид. Сужения воспалительного происхождения развиваются медленно, травматического — быстро, в течение 2 — 3 нед. с момента травмы.

Симптомы стриктуры уретры

Основным симптомом сужения мочеиспускательного канала является затрудненное, вялой струей мочеиспускание и хроническая задержка мочи, которые развивались постепенно в течение нескольких недель или месяцев после перенесенной травмы или имевшего место острого уретрита. Как правило, болевые ощущения отсутствуют или слабо выражены.

При отсутствии своевременного лечения могут развиваться следующие осложнения:

Диагностика

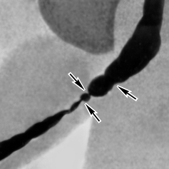
Целью диагностических мероприятий является уточнение степени сужения мочеиспускательного канала, определение длины и локализации стриктуры. С этой целью могут применяться следующие методы диагностики:

  • восходящая и нисходящая уретрография;
  • рентгенография с введение в мочеиспускательный канал рентгенпозитивных инструментов.
  • бужирование

Уточнение диагноза позволяет определить необходимый объем лечения.

Лечение стриктуры уретры

Лечение, как правило, хирургическое, направлено на ликвидацию сужения просвета мочеиспускательного канала, размягчение образовавшихся рубцов и на восстановление проходимости. Применяют как бескровные, так и кровавые методы. Лечение стриктур является наиболее сложным разделом хирургии, который до сих пор еще не нашел своего окончательного решения, хотя при определенной локализации и форме рубцового процесса - предпочтение отдается определенным операциям.

Основные методы лечения:

  • Бужирование - растяжение суженного участка путем поочередного введения в канал гладких трубок, с возрастающим диаметром. Данный метод приводит лишь к временному устранению сужения, и вскоре вновь появляется необходимость проведения бужирования.
  • Оптическая уретротомия - продольное рассечение суженного участка мочеиспускательного канала во время уретроскопии. Метод достаточно эффективен в отношении стриктур небольшой протяженности.
  • Установка уретрального стента - в мочеиспускательный канал в область сужения устанавливается специальная пружинка, которая раздвигает рубцовую ткань.
  • Реконструктивные операции - различные операции, в ходе которых иссекают пораженный участок и восстанавливают целостность мочеиспускательного канала.

Видео:

Поделиться: